Notre laboratoire, ouvert toute l’année, propose un service d’histologie, de cytologie, d’histochimie, d’Immunohistochimie et d’autopsie.
Histologie
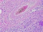
Dermatite et folliculite suppurée
avec spores de Microsporum canis intra-lésionnelles chez un chat
Télécharger la feuille de commémoratifs :
Cytologie
Histicoytome cutané canin, cytoponction de masse cutanée
Télécharger la feuille de commémoratifs :
Histochimie
Bacilles acido résistants
Immunohistochimie
Marquage d’un kyste à Toxoplasma gondii dans l’encéphale d’un raton laveur
Autopsie
Télécharger la feuille de commémoratifs :